Esami ecografici ed invasivi per il controllo della gravidanza normale e ad alto rischio da parte di esperti di livello internazionale.
TUTTI GLI ESAMI
- Traslucenza Nucale / Bi-test
- Ecografia I Trimestre
- Ecografia II Trimestre
- Ecografia III Trimestre
- Ecografia Tridimensionale
- Eco Morfologica/Strutturale
- Ecocardiografia Fetale
- Neurosonografia fetale
- Diagnostica prenatale invasiva
- Villocentesi
- Amniocentesi
- Doppler Flussimetria delle arterie uterine
- Doppler Flussimetria dell'arteria ombelicale
Contatti
GENOVA
Casa della Salute, Genova CentroL.go XII Ottobre, 62 - 16121 - Genova
Tel. (+39) 010-9641083
NAPOLI
Via D.Cimarosa, 69 - 80127Tel. (+39) 081-578-6508
Cell. (+39) 320 61 17 038
(ore pomeridiane)
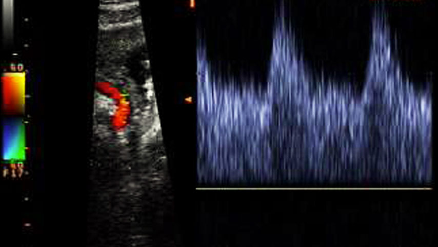
Doppler flussimetria delle arterie uterine
Doppler flussimetria delle arterie uterine
hanno già avuto una gravidanza complicata da gestosi ipertensiva e/o ridotto accrescimento fetale (IUGR o FGR);
soffrono di ipertensione arteriosa pre-esistente alla gravidanza;
hanno una sindrome da autoanticorpi (anti-fosfolipidi, anti-cardiolipina) o una malattia autoimmune come il Lupus;
presentano uno stato di Trombofilia geneticamente determinata (presenza di alcune mutazioni in geni che regolano la coagulazione – Leiden, MTHFR, protrombina, etc.)
Sulla sinistra, in rosso l'arteria uterina di cui si rileva il segnale. Sulla destra, l'onda di flusso registrada dal Doppler